
近日,东院区肝胆外科沙焕臣主任团队成功实施一例高难度联合手术。患者既往因胆管结石反复发作,在十年间接受了六次胆道手术,本次联合手术运用腹腔镜肠粘连松解、胆道镜探查取石、肝叶切除、高位胆管成形及胆肠吻合等多种复杂技术,展现了东院区肝胆外科在复杂胆道疾病外科诊疗方面的综合实力。
10年6次手术,他慕名来到东院区
患者为一名70岁男性,十余年前因胆囊结石、胆总管结石于外院接受“胆囊切除+胆总管切开取石+T管引流术”。术后一年,复查发现结石再次复发,于是进行第二次手术。在随后的十年间,由于胆管结石反复发作,患者辗转多家医院,先后经历了多达六次的“胆总管切开取石+T管引流术”。频繁手术导致患者腹腔内严重粘连,正常解剖结构改变,病情复杂化,严重影响了患者的生活质量。

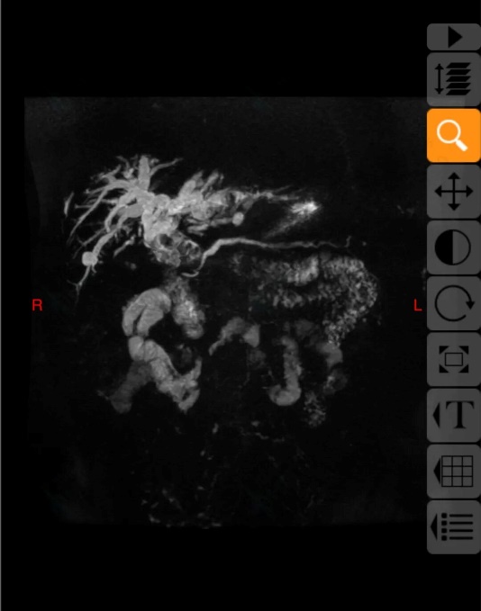
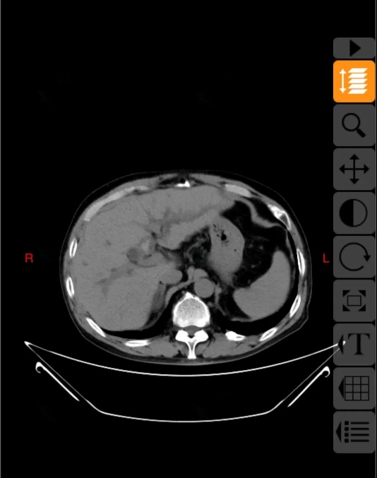
前几日,患者在当地医院复查上腹部CT,结果提示“胆总管结石、肝内胆管结石”。为求进一步诊治,患者慕名来到东院区肝胆外科就诊,以“胆总管结石”将其收治入院。因患者病情复杂、手术史特殊,科室高度重视,沙焕臣主任组织科室骨干力量多次进行病情讨论及全面术前评估。医疗团队在系统分析患者历次手术资料及最新影像学检查后指出,患者因多次手术导致腹腔广泛粘连、解剖结构紊乱,同时肝内胆管结石位置高、分布广泛,若采用传统手术方式,不仅难以彻底清除结石,也无法有效解决胆汁引流问题,手术难度及风险极高。
实力护航,成功实施高难度联合手术
经过充分的术前论证,与患者及家属详细沟通后,科室制定了周密的手术方案,决定为患者实施“腹腔镜下广泛肠粘连松解+胆总管切开胆道镜探查取石+肝左外叶切除+高位胆管修补成形+胆肠吻合术”。

患者腹腔广泛粘连、解剖结构紊乱
10月17日,在麻醉手术部团队的密切配合下,沙焕臣主任主刀手术,术中发现腹腔内粘连严重,肠管、大网膜与腹壁、肝脏广泛致密粘连。手术团队精细操作,逐步分离粘连,成功显露肝门区及胆总管。随后在胆道镜辅助下,彻底清除胆总管及部分肝内胆管结石。针对左肝外叶多发结石伴局部胆管狭窄的情况,团队实施了肝左外叶切除,并对高位胆管进行精细修补与成形,最后顺利完成胆肠吻合术,重建胆汁引流通道。手术过程顺利,术中出血量控制良好,患者生命体征平稳,术后患者安全返回病房。在护理团队的精心照护下,患者恢复进程良好,未出现胆漏、出血、感染等并发症,目前已顺利过渡到流质饮食阶段,并开始逐步下床活动,身心状态稳步改善。
本例手术的成功实施,充分展示了东院区肝胆外科在处理复杂、多次手术后胆道疾病方面的丰富临床经验、精湛手术技术及多学科协作能力。特别是在腹腔镜微创技术、胆道镜应用、精准肝切除和高位胆管成形等核心技术的整合运用上,体现了科室处理疑难重症的专业功底。
肝胆外科始终秉承“以患者为中心”的服务理念,勇于攻坚克难,此例高难度手术的成功,不仅解除了患者长达十年的病痛,也为类似复杂病例的治疗积累了宝贵的临床经验。东院区肝胆外科将继续致力于技术创新与服务提升,为推动区域肝胆外科诊疗水平进步、造福广大患者贡献力量。