当前位置: 首页 公众版首页 > 新闻中心 > 科学研究 > 正文

科学研究

告别疼痛,更告别面部疤痕,神经外科口腔内“隐形手术”解决三叉神经痛

发布时间:2025-12-08   文章来源:​神经外科    作者:李辉 杜昌旺   责任编辑:裴薇   (点击:)

前段时间一场突如其来的“怪病”,让来自甘肃的刘女士连喝水、刷牙都成了难题——她的左侧脸开始疼,那种疼像闪电一样突然袭来,只要一喝水、刷牙,甚至只是轻轻张嘴,疼痛就会被诱发。更要命的是,随着时间的推移,刘女士的疼痛范围逐渐扩大,任何一个微小的动作,都会引起脸部电击一般的疼痛。

为此,刘女士咨询了多家大医院,均未能解决问题。为寻求进一步诊疗,来到西安交通大学第一附属医院院神经外科杜昌旺主任门诊,通过仔细问诊刘女士的病史、症状及结合外院检查资料,杜主任考虑刘女士是左侧桥小脑脚区的表皮样囊肿术后继发性三叉神经痛,但从复查核磁来看表皮样囊肿无明显复发。和刘女士及家属沟通病情后,针对三叉神经痛,有两种方案,一种是原手术切口开颅进行三叉神经减压梳理,另一种是行微创的三叉神经半月节微球囊压迫术。刘女士及家属商议后选择行三叉神经半月节微球囊压迫术。

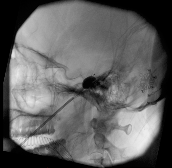
但由于刘女士是个爱美人士,要求面部不能有疤痕,为此杜主任改良了既往的三叉神经微球囊压迫手术的穿刺点,把穿刺点由原来嘴角外侧面部改为口腔内粘膜,达到患者面部不留疤效果,虽然增加了手术操作难度,经过杜昌旺主任团队术中努力,成功为刘女士实施了经口腔内穿刺三叉神经半月节微球囊压迫术,如下图

术后即刻刘女士面部疼痛消失,说话吃饭恢复正常,术后1天刘女士就康复出院。值得一提的是,与传统手术不同,本次手术经口腔内穿刺,面部完全看不到任何痕迹。“就像没做过手术一样!”刘女士对着镜子笑了——解决三叉神经痛,没有红肿,没有疤痕,只有久违的轻松。“想不到日夜疼痛的恶梦,一个球囊就搞定了”。刘女士笑言。

该微创治疗三叉神经痛的方法是在影像学引导下,将球囊导管经面部皮肤穿刺至颅内三叉神经半月节所在的 Meckel腔,注入造影对比剂使球囊充盈,压迫三叉神经半月节,损伤传导痛觉的神经,从而达到缓解疼痛的目的。这项技术优势在于:创伤小,费用低,可重复,操作可视化,住院时间短。

“很多年轻患者还担心面部留疤而拖延手术,结果疼痛反复发作导致焦虑抑郁,严重影响生活。”杜昌旺主任强调,“现在小的技术改良:经口腔内穿刺入路的三叉神经半月节微球囊压迫术为三叉神经痛患者提供了一条新的选择,既解决病痛,更守住颜值。

地址:陕西·西安市雁塔西路277号     邮编:710061

Copyright(c) 西安交通大学第一附属医院   陕ICP备12009712号-3号   技术支持:网络信息部