近期,我院骨科张银刚教授率先开展了首例“腰5-骶1OLIF手术治疗腰椎退变性疾患,并取得良好效果。
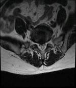
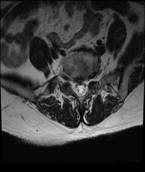
患者,女性,53岁。因患有“腰5椎体滑脱症、腰椎管狭窄症”被腰痛和跛行折磨多年,只能自主行走不到100米。日常生活质量和常规工作受很大影响。病情严重时只能卧床休息,连翻身都很困难。在当地医院查CT和磁共振显示:腰5椎体前滑脱、腰5-骶1节段腰椎管狭窄,黄韧带增厚,关节突关节增生。诊断为“腰5椎体峡部裂,滑脱 、腰椎管狭窄症”。
患者辗转于西安多家医院,被告知需进行手术治疗,因担心手术较大,出血多,后遗症多,迟迟不能决定手术。经别人推荐慕名找到我院骨科脊柱微创中心的张银刚教授。张银刚教授和刘凯博士等细致了解病情,仔细查体和阅片后分析:该患者腰5-骶1椎间隙退变严重,椎间隙变窄,腰5椎体失稳并向前滑脱,与增生的黄韧带和骨赘组织共同作用,造成腰椎管狭窄。进而引起腰痛、间歇性跛行等症状。




术前腰椎动力位片




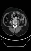
术前CTA检查



术前MRI检查
根据患者病情特点、主观诉求等实际情况,结合我科前期已成功为众多患者微创OLIF手术治疗腰椎管狭窄症的丰富经验,脊柱微创中心专家组为该患者制定“斜外侧入路腰5-骶1椎间隙融合(OLIF)+后路经皮置钉内固定手术”方案。手术由张银刚教授主刀,刘凯博士协助,手术历时2.5小时,手术顺利,出血不到50ml。
术后患者立即感到腰腿部不适明显缓解,术后24小时左右已在保护下站起,室内锻炼行走。术前症状几乎完全消失。术后复查X线片显示:腰5-骶1椎间隙高度较术前明显恢复,腰5椎体滑脱完全纠正,融合器位置理想。


术后复查腰椎正侧位
OLIF手术的全称为“斜外侧入路椎间融合术”(Oblique Lateral Interbody Fusion OLIF)。与传统开放式手术方式相比,该术式的最大优势在于通过侧腹部循肌间隙进入,不损伤重要肌肉组织,不损害任何骨组织,并能植入大规格的椎间融合器,充分恢复椎间隙高度,重建脊柱单元的稳定性和生物力学性能。特别适用于单节段或多阶段的腰椎管狭窄症、退变性脊柱侧弯、腰椎滑脱症等。因解剖关系复杂、通道视野受限等因素限制,通常应用于腰2-腰5阶段。腰5-骶1节段OLIF手术,是脊柱微创行业的标志性手术。本次我科率先将该手术扩展到腰5-骶1节段,说明我科在脊柱微创外科领域的手术理念、操作技术等均已上升到一个新的高度。
张银刚脊柱微创团队长期致力于椎间盘退变性疾病的微创治疗,先后于2017年获校级新医疗技术立项《脊柱内镜(椎间孔镜)在胸椎疾患的应用》及2019年获重大新医疗新技术立项1项《脊柱侧前路微创融合新技术-OLIF》。目前团队拥有丰富的脊柱微创技术,如经皮椎间孔镜椎间盘摘除术、斜外侧腰椎间融合术、镜下融合术,经皮椎体成形术等,形成了一附院脊柱微创在西北的品牌,在把我院建设成为区域性医疗中心贡献应有的力量。