近日,一名被头痛困扰两年多的患者李女士因为头痛持续加重在外院检查发现颅内巨大脑膜瘤,为进一步治疗慕名来到榆林二院就诊。
恰逢西安交通大学第一附属医院神经外科李奇副主任医师作为国家区域医学中心榆林专班专家团队入驻榆林二院,与榆林二院脑科医院团队一起为该患者
进行系列评估及影像学检查后,认为患者肿瘤巨大,应该尽快手术,但是肿瘤严重压迫脑组织,并且肿瘤基底与周围脑组织粘连明显,血供丰富,手术风险极大。在经过充分的风险评估和完善的术前准备后,由西安交通大学第一附属医院李奇教授与榆林二院刘鹏程主任医师主刀,在麻醉科和手术室护理团队良好的配合下,成功完全切除颅内巨大肿瘤,手术后患者恢复良好,头痛消失,也没有遗留任何后遗症,现已痊愈出院。
未来,西安交通大学第一附属医院将进一步与榆林二院深度合作,助推陕甘宁蒙晋交界区医学学科的发展,从根本上解决当地群众看病难的问题,造福一方百姓。
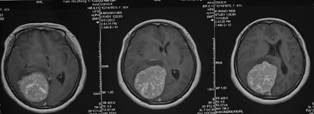
术前影像



李奇教授与刘鹏程主任医师耐心细致的切除肿瘤


术后核磁共振检查提示肿瘤完全切除



李奇教授简介
西安交通大学第一附属医院神经外科副主任医师,外科学博士,西安交通大学第一附属医院垂体瘤诊疗中心副主任,美国匹兹堡大学颅底外科中心访问学者,中国垂体瘤协作组委员西北垂体瘤联盟秘书长,陕西省医学会神经外科分会内镜学组委员;陕西省医师学会颅底外科专业委员会常委,陕西省保健学会急诊与创伤委员会常委。主要专业方向为经鼻神经内镜颅底手术和垂体相关疾病的多学科诊疗,年开展神经内镜经颅底手术150余例。
2013年第一完成人参与并完成卫生部重大项目“神经内镜解剖与临床应用研究”。2014年作为访问学者在美国匹兹堡大学医学中心颅底外科学习神经内镜手术。2015年在德国图宾根大学学习脊柱内镜手术。2017年全国垂体瘤大会、2018年全国神经内镜年会手术大赛三等奖。两次获得陕西省科技二等奖和陕西省高校科技一等奖(第四完成人)。主持陕西省重点研发计划基金1项,主持西安交通大学第一附属医院临床研究基金1项,发表SCI文章4篇,核心期刊论文9篇。参编卫生部规划教材《神经外科学(第二版),参编其它神经外科专著4部。

刘鹏程主任医师简介
刘鹏程,男,硕士研究生,神经外科主任医师,榆林市第二医院神经外科一病区副主任,现任榆林市神经介入学会秘书长,陕西省神经外科康复委员会委员。首都医科大学附属天坛医院神经外科访问学者,援藏专家,援藏期间任阿里地区人民医院外科业务主任。2018年应邀参加瑞典卡罗林斯卡医学院举办的脑血管病的学术教学与交流,先后在国内发表论文10余篇,SCI两篇,参与编写及翻译著作两部,国家发明专利一项,荣获陕西省科技成果认证一项,荣获榆林市科技成果认证两项。2021年被榆林市卫健委评为榆林市第三届“最美医生”。2021年8月被国家评为“优秀援藏干部”。榆林市最先自主开展出血性及缺血性脑血管病的介入治疗。擅长介入手术、脑外伤、脑出血的开颅手术治疗、微创穿刺治疗以及幕上肿瘤的切除。
【西安交通大学附属第一医院榆林医院·脑科医院简介】
榆林市第二医院现在余西安交通大学第一附属医院共同建设国家区域医疗中心。西安交通大学目前派驻我院神经外科为李奇教授,擅长内镜微创手术。西安交通大学第一附属医院榆林医院院中院——脑科医院包括神经内科、神经外科、神经康复、神经重症共6个病区,床位265余张。是国家高级卒中中心、中国综合卒中中心、国家脑卒中筛查与防治基地、国家心脑血管病联盟单位、国家神经系统疾病联盟单位等,是我市微创神经外科、神经病学、神经介入、重症医师协会、重症护理学会的主委单位。从事脑卒中诊疗的医生61人,其中主任医师14人,副主任医师16人,医学博士1人,医学硕士36人。拥有“西部之光”访问学者1人,陕西省“三五人才”1人,陕西省“人才计划”项目1人,榆林市“一五二人才”或榆林市有突出贡献拔尖人才7人。10余人担任省级以上学会的委员或者常委等。拥有核磁共振3台、256层高端CT 1台、大型数字减影C型臂2台等国内先进的医疗设备。已开展了脑卒中绿色通道,构建了成功的脑血管病急救体系,且是全市唯一可以开展飞机救援的医院,形成了立体式的地空救援体系。在脑血管病治疗方面实现了各类脑血管病治疗的全覆盖,包括脑动脉瘤栓塞、脑血管畸形栓塞、脑血管狭窄支架植入、脑血管急性闭塞介入开通、颅内静脉窦闭塞开通、脊髓血管病介入诊疗、脑动脉瘤夹闭、脑血管畸形切除、脑出血的微创治疗等;颅脑创伤及颅内肿瘤的治疗方面,在区域内处于绝对领先水平,部分达到国内先进或领先水平。


