最近许多新冠患者出现频繁和严重的咳嗽症状,“咳咳咳”是最常见的症状之一,但咳嗽后出现胸痛、气短甚至呼吸困难就要保持警惕,及时就医。其中原因除了新冠病毒导致的肺部感染和炎症,还有剧烈咳嗽导致的肺大疱破裂进而引起气胸。近日,西安交通大学第一附属医院胸外科经由急诊科连续收住了多名新冠阳性患者,其中两名具有典型症状的患者为肺大疱破裂引起的气胸,考虑病因可能与新冠咳嗽导致肺大疱破裂有关。
新冠病毒感染后剧烈咳嗽容易导致气胸
前日胸外科收治了一位36岁青年男性和一位55岁中年女性。两位患者均为新冠阳性患者,在居家过程中咳嗽及体位改变后出现胸痛、气短症状前来就诊。经由急诊科分诊,根据典型症状、查体结合胸部CT诊断为气胸,诊断后行闭式引流术,治疗后胸闷气短症状明显缓解,呼吸轻快有力,预后良好。

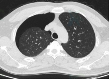
新冠患者咳嗽后出现右侧气胸

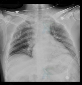
放置闭式引流后胸片提示气胸消失、肺复张良好
新冠感染后气短、呼吸困难未必全是肺炎
新冠病毒奥密克戎株,较少引起肺部病变和纤维化,大部分情况下并不会感染肺部。因此新冠感染后出现气短、呼吸困难,剧烈咳嗽引发肺大疱破裂导致的气胸问题容易被忽视。气胸可伴随有胸痛、大汗等症状,尤其是既往曾有过气胸、肺大疱及肺部基础病史的患者尤其需要重视,怀疑气胸后应及时就医。
新冠患者咳嗽后气短、胸痛小心气胸
近期部分新冠患者伴有严重的咳嗽咳痰症状,咳嗽频繁且剧烈。而剧烈咳嗽后出现气短、胸痛及呼吸困难,则需当心气胸问题,尤其是既往具有气胸、肺大疱及肺部基础病史的患者,需要时刻保持警惕,出现症状及时就医。
西安交通大学第一附属医院胸外科,近期响应国家和医院号召,无论新冠阳性与否,无条件全部接诊收治来自门诊、急诊的各类胸科相关急危重症患者。科室上下团结一心,克服人手不足等一切困难,力争用优质的医疗服务为人民群众生命健康保驾护航,用实际行动与广大患者一起共克时艰、共渡难关。