耳闻中的磁外科技术
我是Rafiq Agasiyev,一名来自阿塞拜疆Leyla Medical Center (Referans Medical Group)的普外科医生。初次听闻磁外科技术源于我的导师Kenan Yusif-zade教授的介绍。Kenan教授与中国磁外科团队的初次接触是在2024年8月马来西亚吉隆坡举办的国际外科周(ISW)会议上,会议期间Kenan教授偶然间听到了西安交通大学第一附属医院肝胆外科磁外科团队张苗苗博士的口头报告“Treatment of Refractory Esophageal Stenosis after Endoscopic Submucosal Dissection with Magnetic Compression Anastomosis”,当时这个报告让Kenan教授感到无比震撼,拥有多年临床外科工作经验的Kenan教授发出了来自肺腑的感叹:这个病还可以这样去治疗,磁外科技术在中国人的手里居然如此出神入化。会后,Kenan教授与严小鹏医生对磁外科技术进行了全面了解和深入探讨。

Kenan教授回国后第一时间向我们介绍了他了解到的中国医生手里的磁外科技术:磁锚定腔镜技术、消化道狭窄磁力再通技术、磁示踪消化道微小肿瘤标记技术……,诸多原创技术对我来说是初次耳闻,这引起了我极大的兴趣。我立刻向医院递交了要到西安交通大学第一附属医院进修学习磁外科技术的申请,在Kenan教授和严小鹏医生的多次沟通和协调下,我终于获得了来华学习磁外科技术的宝贵机会。
目染中的磁外科技术
3月2日,在乘坐了45分钟的地铁后我怀着激动的心情终于踏入了陆港院区特种外科,一进病区我就被走廊里陈列的磁外科临床经典病例展板所吸引。看着这些临床上极其难治的病人依靠磁外科技术获得了良好的治疗效果后,我知道我这次来对地方了。
随后,严小鹏医生向我介绍了科室的医生和护士同行,简短的问候后他们便投入到了临床工作中。严小鹏医生接下来给我展示了的他的百宝柜,里面各种形状和用途的磁体琳琅满目,我当时的心情就像是在山林中发掘出了宝藏一样。另一方面,我也深深地意识到这更是西安交通大学第一附属医院吕毅教授带领的磁外科团队深耕多年的智慧结晶,这让我肃然起敬。当我接过严小鹏医生送给我的《磁外科临床实践》这本书后,虽然我看不懂里面的中文,但书中映入眼帘的手术照片让我知道这一定是一本值得仔细研读和体会的磁外科名著。我借助翻译软件用了2周时间学习了这本书里介绍的55个经典磁外科临床病例,让我感触颇深。


亲历中的磁外科技术
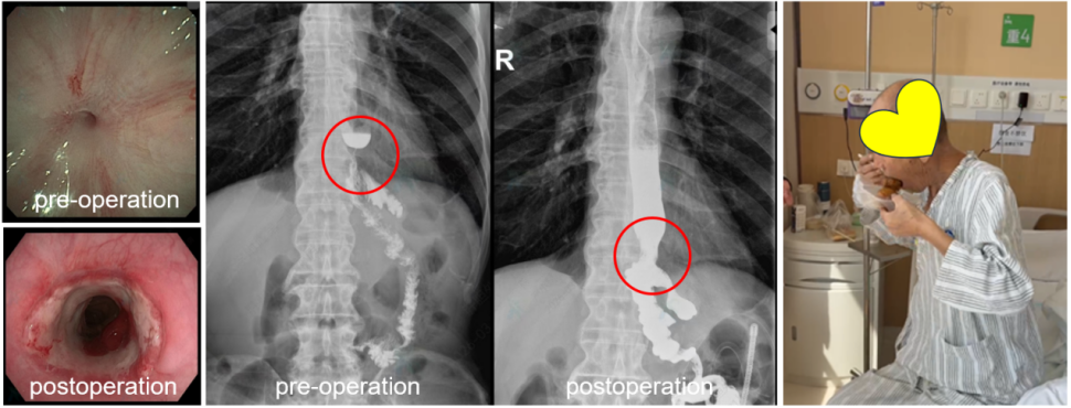
3月12日早上刚到病房,严小鹏医生就匆匆递给我几张胃镜和食管造影的报告单,同时,我看到旁边凳子上坐着一名极度瘦弱的老人,我意识到这又是一个奔着磁外科技术而来的复杂病患。贲门胃底恶性肿瘤术后食管空肠吻合口重度狭窄,外院内镜下球囊扩张无效,患者近3个月未进食、进水,并且随手都带着一个纸杯子,重度的食管狭窄让他连唾液也无法下咽。这个病患的治疗将极其复杂,并且风险很高,一时间我竟然不知如何着手。我缓缓抬头看向严小鹏医生眉头微蹙的脸,一双坚定而深邃的眼神让我意识到这名患者应该是有希望的。
在进修期间能够亲历磁外科技术治疗复杂临床疾病将是我莫大的荣幸。在接下来的时间里,严小鹏医生带着我亲自给患者进一步完成了食管造影和胃镜检查,最终,我们在3月18日给患者实施了开腹联合胃镜下食管空肠吻合口狭窄磁力再通术。这个手术需要多个科室不同专业的医生共同参与完成,除肝胆外科磁外科团队的严小鹏医生、师建华医生、王荣峰医生、张苗苗医生外,还有腹部外科的张雷医生、卢强医生,消化内镜的任晓阳医生、刘鑫护士,麻醉手术部的毕阳医生、刘洋护士和林晓伟护士,还有影像科术中拍片人员的参与帮忙(这是后来我向严小鹏医生索要的参与人员,我希望能记住他们)。一个需要这么多医护人员和科室共同参与配合的手术,在严小鹏医生的协调指挥下却显得不慌不乱、井井有条,我想这应该是他们经过好多例磁外科手术后磨练出来的默契。另一方面我也深深地感受到西安交通大学第一附属医院医生们不嫌麻烦、不畏艰难、一心只为救治患者的高尚品质。


见证磁外科的神奇
3月30日(患者术后12天)在去医院的地铁上,我还一直在想这个病人的磁体什么时候取、怎么取出来的问题。早上交班时,严小鹏医生兴奋地告诉我:患者说他已经能咽下唾液了。随后我们让患者大口喝水,患者竟然也能顺利咽下。严小鹏医生随即安排我带上患者前往胃肠镜造影室,看着患者喝下的造影剂顺利进入了空肠,我感到无比兴奋。然而接下来的一幕却直接震惊了我,只见严小鹏医生缓缓牵拉患者鼻孔内的磁体牵引管,在X线下只见那两枚磁体从食管空肠吻合部位慢慢移动到患者口腔内,并顺利取出了磁体。进一步的胃镜检查和食管造影证实食管空肠吻合口再通,当天患者就已经可以经口顺利进食了。一名3个月未曾经口进食、进水的老人现在居然可以吃肉丸了(他们说这是中国的狮子头,应该是一种菜品)。此刻我真实地感受到了磁外科技术的神奇。
今天患者精神焕发,与入院时病殃殃的样子判若两人,和善的患者和家属在离院前给我们赠送来了锦旗(科室护士悄悄告诉我:在中国,这是患者对帮助他们的医护人员表达敬意和感激之情的最高形式)。我很诧异在锦旗上竟然有我的名字,我想我是不是已经是磁外科团队的一员了。非常有幸,我参与了这名患者治疗的全过程,亲身见证了磁外科的神奇和中国医生的优秀,回国后我会把西安交通大学第一附属医院磁外科团队的故事讲给我的同事,希望我们国家也能开展这样的磁外科手术。