2026年3月6日周五晚,在大多数家庭准备欢度周末之时,交大一附院总院区急诊中心仍灯火通明,人头攒动,晚上11:22分,一阵急促的救护车鸣笛声划破夜空,63岁的余先生被紧急送入抢救室,一场与死神赛跑的生命救援就此展开……
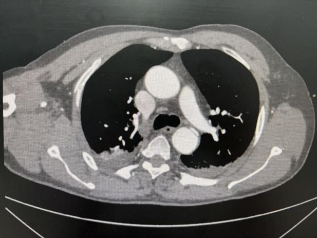
患者因车祸导致严重全身多发伤,ISS评分43分,(ISS评分与死亡率呈正相关,大于16分为严重创伤,大于50分提示存活率极低),创伤性主动脉夹层,右侧股骨干粉碎性骨折,右侧胫腓骨多发骨折,骨盆骨折,右肩关节及右肘关节骨折,肋骨多发骨折,伴有创伤性湿肺、失血性休克、呼吸衰竭等。
急诊中心急诊外科亚专业团队迅速启动创伤中心应急机制,快速评估病情,按照严重创伤“损伤控制复苏原则”,给予气道管理、限制性液体复苏、输血、药物止血、纠正凝血功能障碍、胸带及骨盆带固定等急救措施,为后续救治争取黄金窗口,同时,紧急启动创伤MDT,第一时间召集周围血管科、普外科、胸外科、骨科等科室,仅10分钟创伤团队在急诊抢救室集结完毕,经讨论后一致同意遵循“先救命、后治病”的原则,优先处理严重危及生命的问题,即创伤性主动脉夹层,骨科及胸外科给予支具固定,待患者情况平稳后再行后续手术治疗,汇报科室负责人苗常青主任及外科亚专业许静主任后,立即决定以急诊中心为主导,收住急诊创伤亚重症病房,联合周围血管科秦皓教授团队进行急诊“胸主动脉覆膜支架置入术”,术后患者生命平稳,待一般状态好转后,后续将与骨科协作,共同完成肋骨骨折及肢体骨折手术。
据WTO报道,全球每年创伤致死人数为580万,是45岁以下人群死亡的最常见的原因,我国每年因创伤死亡患者约70万,由于严重多发伤在伤后1小时内及24小时内死亡率极高,需尽早干预,且往往涉及多学科多专业,故我院在2021年11月成立创伤中心,2023年4月建立以急诊外科牵头,以创伤救治为核心的多学科诊疗模式,旨在提高创伤救治时效性,降低严重创伤患者的死亡率。2025年,急诊外科团队依托急诊创伤亚重症病房、急诊抢救室等区域,三院区接诊创伤患者共计35000余人次,诊治较重创伤患者共计940人。2026年,我科将在苗常青主任、许静主任的带领下,继续大力发展创伤专业,并落实“时间窗依赖性外科急重症”这一理念,提升自身技术素质的同时与各外科专科及ICU平台通力协作,打造好“创伤中心”这一平台,成为人民健康最坚实的防线!




