7月24日周六早上,介入手术室主管护师胡新华老师开始了她的值班工作,不到八点她来到科室,像往常一样将急诊手术所需急救药品物品等检查备好,紧接着急诊电话就响起。神经内科一例急性脑梗死患者上台急诊手术,就在神经内科急诊还未结束时,消化内科一例消化道出血患者需急诊栓塞止血,胡新华老师立即启动备班护士霍达配合急诊手术。随后她们又相继配合完成周围血管科下肢动脉急性闭塞1例,心血管内科急性下壁心肌梗死1例,神经内科脑梗死患者在全麻下急诊造影取栓3例......
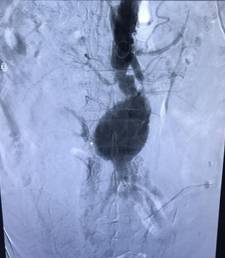
经历了一天一夜值班未眠,凌晨5点27分神经内科急诊手术还在持续进行中,急诊电话又一次响起,周围血管科一例腹主动脉瘤合并严重冠心病患者,一旦腹主动脉瘤破裂,就会造成大出血、失血性休克等,从而危及患者生命,现需要立即行急诊腹主动脉瘤腔内隔绝术。胡新华老师立即再次启动备班护士,准备急诊手术用物及急救配合用物,田红燕主任及张军波教授很快也已就位,随后病人入室顺利开始手术。就在手术刚开始进行时,患者突然出现面色苍白,大汗淋漓,再次腹痛且加剧,血压骤降至60/40mmHg,心率加快至130次/分,在田主任与张教授指挥下,胡新华老师与备班护士霍达紧急进行抢救,她们反应迅速,处理果断,默契配合田红燕主任与张军波教授紧急行球囊阻断腹主动脉,快速植入覆膜支架,很快病人腹痛减轻生命体征恢复平稳,转危为安,手术顺利结束,患者安全出室返回病房。
手术结束后,胡新华老师和护士霍达都受到田红燕主任及张军波教授的高度赞扬,在这生死时刻,腹主动脉瘤术中破裂死亡率高达90%以上的情况下,能将病人从死亡线上拉了回来,离不开室内护士的密切配合和护士在工作中所拥有的过硬急救技能及应变能力。当田主任和张军波教授以及胡新华老师和霍达护士安全将病人送出介入手术室时都已是第二天早上八点了,虽然在这紧张的24小时内,但能与死神赛跑,把病情如此危重的患者从生死边缘拉回来,值了!
胡新华老师值班的这24小时,只是平凡工作日中的缩影,而这一天的手术只是介入手术当中的一少部分,危险伴随着每一天每一夜每一台手术,我们时刻准备着,全年365天,每天的24小时处于“备战”状态,守护病人安危。

