上午十一点,密集的的键盘声戛然而止。二十二岁的女大学生小刘为了毕业论文一动不动忙碌了一上午,刚想起身休息,惊觉左手左脚像灌了铅般沉重麻木。她想呼救,舌头却不听使唤,吐字含糊不清——这是大脑发出的最危急的求救信号。
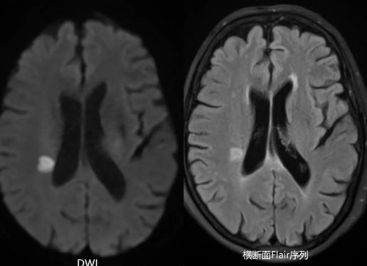
被紧急送往交大一附院神经内科后,头颅磁共振的影像冰冷地宣告:右侧基底节区急性脑梗死。如此年轻且没有“三高”等传统危险因素的患者突发中风,神内医生立刻意识到,病因绝不寻常。一场精准的“血管侦探”行动火速展开。

第一步:筛查上游的“预警”
医生首先将“探照灯”对准了通往大脑的“主干道”——颈动脉。神内颈部血管超声检查迅速完成,结果揭示了一个重要的线索:患者右侧颈动脉内膜存在轻微异常,血流信号提示其远端可能存在更细分支的阻力。这就像在主要河流的上游发现了水流不畅的迹象,警报拉响,调查必须向更深处、更精细的颅内世界推进。
第二步:锁定颅内的“狭窄点”
紧接着,神内经颅多普勒超声(TCD)检查启动。这个检查能像雷达一样,穿透颅骨,实时监测大脑内部动脉的血流速度与频谱。屏幕上跳动的波形,清晰地指向了问题核心:右侧大脑中动脉M1段存在明确的局部狭窄,血流速度显著增快。这证实了血管超声的推测,找到了导致脑梗的直接“作案现场”——一根关键的颅内血管变窄了,很可能引发了局部血栓形成。然而,一个根本性问题悬而未决:如此年轻的血管,为何会早早出现狭窄?
第三步:揪出心脏的“隐秘通道”
病因探查并未止步于“现场”。既然血管本身没有严重的老化病变,那么堵塞血管的血栓从何而来?神内医生决定进行TCD发泡试验。当静脉注射的微小气泡(造影剂)随着血流回心时,监测探头紧贴着患者的大脑血管。令人震惊的画面出现了:即使在她平静呼吸时,大量气泡信号就像一阵密集的“雨帘”,瞬间出现在大脑血流中。这铁证如山,意味着她的心脏里存在一个右向左分流的“隐秘通道”——血液(以及可能携带的微小血栓)没有完全经过肺循环过滤,就直接从右心“抄近路”进入了左心,继而奔涌向大脑。

结合所有证据,最终的“元凶”浮出水面:卵圆孔未闭。这个心脏里未闭合的小孔,成了血栓的“直通隧道”,可能是其颅内动脉狭窄的始动因素,更是本次中风事件的罪魁祸首。
目前,小刘在药物治疗下正逐步康复。她的病例为所有年轻人敲响警钟:中风绝非老年人专属。长期熬夜、久坐等现代生活模式,可能引爆如卵圆孔未闭这类先天“暗雷”。一旦出现突发性肢体无力、口齿不清等“中风120”警示症状,必须争分夺秒就医。而现代医学的精密检查,正如同一位位不会疲倦的侦探,层层深入,直至揭开真相。
交大一附院神经内科为精准查明脑血管病因,在总院与陆港院区均配备了专业的检查团队与设备,为患者提供完整的“脑卒中病因筛查链”。
经颅多普勒检查室核心检查项目: 颈部血管超声、经颅多普勒超声 (TCD)、TCD发泡试验
总院区地址: 西安市雁塔西路277号(门诊二楼西A2019经颅多普勒检查室)
陆港院区地址: 西安市灞桥区秦汉大道7号(门诊二楼B区经颅多普勒检查室)