2025年12月26日,我院陆港院区心内科团队在韩克教授、魏峰教授、马云龙及李瑞锋主治医生的紧密协作下,联合心超室、麻醉科、介入手术室,为一例主动脉瓣重度狭窄患者成功实施了陆港院区首例经导管主动脉瓣置换术(TAVR),该项手术的开展,填补了陆港院区主动脉瓣狭窄介入治疗的空白,为广大高龄、危重、高风险的主动脉瓣疾病患者带来了福音!这不仅体现了我院心内科强大的团队协作能力与精湛的技术实力,更彰显了我院为危重患者提供全方位、高品质医疗服务的承诺与能力。

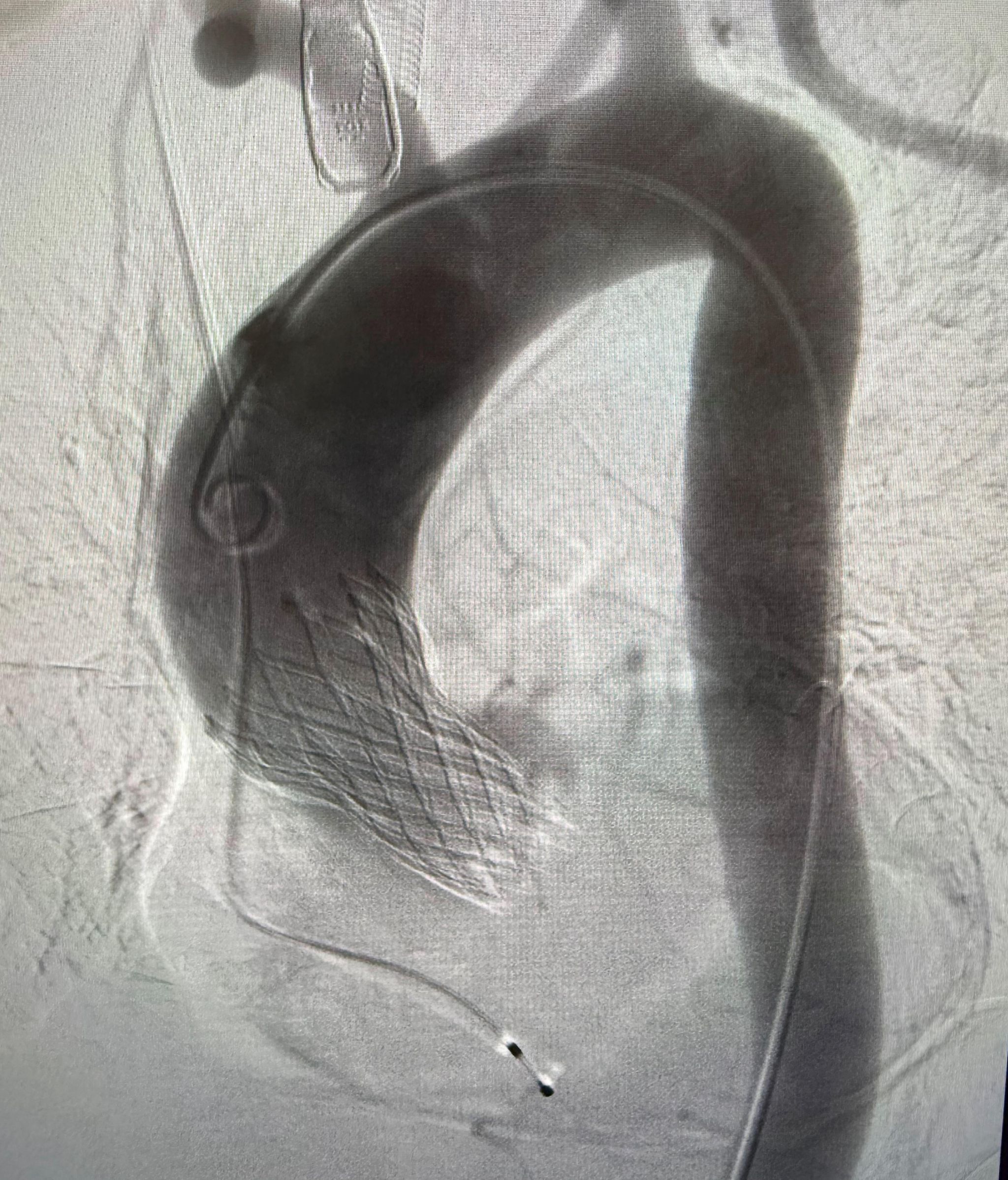
图-1 术中瓣膜植入
患者是一名老年男性,活动后反复胸闷、气短,院外以“冠心病”治疗后效果不佳。入院复查心动超声提示:主动脉瓣二叶畸形并重度狭窄,瓣口面积0.7cm2,EF值51%,左心扩大,整体收缩功能减低;冠脉CTA示:冠状动脉硬化,未见严重狭窄。诊疗团队肖懿慧副主任、魏峰教授与褚超主治医师讨论后,考虑患者症状与主动脉瓣狭窄相关,需行主动脉瓣置换术,术前与患者及家属充分沟通病情与治疗方案后,患者及家属要求行介入微创主动脉瓣置换术。然而,主动脉瓣置换术本身是一种高风险、易出现严重并发症的重大、复杂心血管手术,团队术前经过精确的CTA数据测量分析并联合心外科、CCU、心超室、麻醉科、介入手术室等多学科专家进行了深入的术前MDT病例讨论。心内科韩克教授、任洁教授、肖懿慧教授、杜媛教授、魏峰教授及褚超主治医师详细分析了患者的病情及临床综合情况,从介入治疗角度评估了手术指征、手术风险、预期获益及并发症预防与围术期管理等关键问题。心外科郭锋伟教授从外科视角,就患者解剖特点、手术策略、潜在风险及中远期管理提供了重要建议,强调了预案准备。心超室卓小桢教授系统分析了心脏超声的测量结果,对瓣膜形态、开放面积、跨瓣压差、峰值流速、钙化分布等进行了精准的评估。与此同时,罗轩护士长介入手术室团队明确了手术流程与特殊器械的准备要求。麻醉科王瑞教授全面评估了患者全身状况,规划了术中麻醉管理及可能并发症的应对策略。贾娅琼护士长护理团队从围术期护理角度,明确了术前准备、术中配合与术后快速康复的护理路径。此次线上MDT术前病例讨论高效而深入,各领域专家汇聚智慧,共同权衡获益与风险,优化手术方案,彰显了多学科团队在处理复杂心脏瓣膜病中不可或缺的协同作用,为确保患者手术安全与最大临床获益奠定了坚实基础。

图-2 术前MDT病例讨论
手术台上,心内科医疗团队展现出了精湛的操作技艺与默契的配合协作能力,整个手术过程从穿刺、导丝置入到球囊扩张、瓣膜释放,每一个环节都紧密衔接,术后即刻经造影及食道超声评估显示,新植入瓣膜功能良好,血流动力学即刻改善,患者主动脉瓣重度狭窄的严重情况通过这一微创介入技术获得了根本的有效快速治疗。患者术后在CCU及心内科病房接受进一步治疗与恢复,护理团队制定了专业的围术期护理方案,为患者提供了全方位、精细化的护理服务,保障了手术的远期效果。

图-3 术中操作
此次TAVR手术的成功,标志着我院陆港院区心血管内科在心脏瓣膜病等重大心血管介入手术治疗中又取得了重大进展。科室将继续秉承"以患者为中心"的核心服务理念,坚持技术创新与优质医疗服务相结合,不断提升疑难危重症患者的救治能力与服务水平,为更多的心血管危重患者提供坚实的技术支撑与服务保障。

图-4 术后团队合影